Drachtbegeleiding
Wanneer u uw hond of kat bewust heeft laten dekken of het vermoeden heeft dat er een dekking heeft plaatsgevonden, kan er sprake zijn van zwangerschap. Bij dieren spreken we van dracht.
Verschijnselen die u zelf kunnen opvallen bij dracht zijn toename van de buikomvang en melkklierpakketten, afname in activiteit en een grotere eetlust. Ook het gedrag kan veranderen: uw hond of kat kan aanhankelijker worden en/of sneller geïrriteerd.
Honden en katten zijn gemiddeld 63 dagen drachtig, geteld vanaf het moment van dekking. Om een dracht te bevestigen (of in sommige gevallen, uit te sluiten) zijn bij ons twee vormen van beeldvormende diagnostiek beschikbaar: het maken van een echo en röntgenfoto’s.

Drachtecho
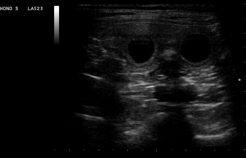
Vanaf dag 21 dagen bij de hond en 18 dagen bij de kat, is het mogelijk om te zien of een hond of kat drachtig is. Soms zijn er al eerder veranderingen waar te nemen. Het is echter betrouwbaarder om vanaf dag 28 van de dracht een echo van de baarmoeder te maken.

Er zijn dan duidelijk vruchtzakjes met foetussen zichtbaar. Vaak voeren we de echo rond dag 30 uit, omdat na die dag de kans op doodgaan en resorptie een stuk kleiner wordt.
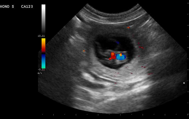
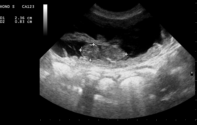
Naast bevestigen van de dracht heeft de echo als voordeel dat het ons meer informatie geeft over de gezondheid van de pups of kittens. Er kan bekeken worden of de dracht normaal verloopt en de hartactie van de foetussen kan bekeken worden. Wanneer het moment van dekken niet bekend is, kan er een schatting gemaakt worden van de drachtduur aan de hand van het formaat van de foetussen. Hiervoor bestaan bepaalde formules, deze zijn zeker niet geheel betrouwbaar maar kunnen een richting geven. Ook kan er een schatting gemaakt worden van het aantal pups of kittens dat verwacht wordt. Het is echter belangrijk om te weten dat dit bij echo nooit met 100% zekerheid kan worden vastgesteld. Tijdens het maken van echo bewegen de foetussen, waardoor ze soms niet of juist dubbel geteld kunnen worden bij het langsgaan van de baarmoederhoorns. Ook is het zo dat hoe verder we in de dracht zitten, des te onbetrouwbaarder wordt het. Dit komt omdat de pups en kittens steeds groter worden, waardoor je meerdere keren hetzelfde pup of kitten kunt tellen.

Röntgenfoto dracht
Het maken van een röntgenfoto van de buik ter bevestiging van dracht kan vanaf dag 45 van de dracht, hoewel iets langer wachten vaak een nog betrouwbaardere uitslag geeft. Dit komt omdat een röntgenfoto de skeletten van de pups en kittens in beeld brengt en deze skeletten vóór dag 45 nog uit kraakbeen bestaan i.p.v. bot, waardoor ze niet zichtbaar zijn op röntgenfoto’s. In dit stadium van de dracht is het maken van een röntgenfoto redelijk veilig voor de foetussen.

Naast bevestigen van de dracht heeft de röntgen als voordeel dat het aantal te verwachten pups kittens betrouwbaarder te bepalen is. Dit is fijn om te weten voordat de bevalling (partus) plaatsvindt, zodat het duidelijk is dat het moederdier klaar is met de bevalling, maar ook hoeveel pups of kittens u kunt aanbieden aan geïnteresseerden. Verder, wanneer er op de röntgenfoto sprake blijkt van één- of tweelingdracht bestaat het risico dat de foetussen te groot worden. Er zal dan mogelijk eerder ingegrepen moeten worden middels een keizersnede, als de partus nog niet rond de verwachte datum heeft plaatsgevonden.