Een kreupele hond
Kreupelheid is een veelvoorkomend probleem bij zowel de hond als de kat. Kreupel lopen kan veel verschillende oorzaken hebben. Denk onder andere aan verstuikingen, verwondingen, infecties, artrose, botbreuken en bottumoren.
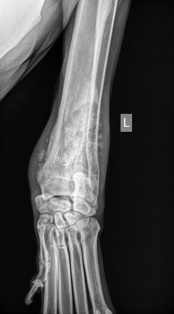
Als een hond bij ons aangeboden wordt met kreupelheidsklachten gaan we dit grondig onderzoeken. We beginnen altijd met de anamnese. We stellen vragen om het probleem goed in beeld te krijgen. Bij ons op de kliniek werd een tijd geleden een kreupele hond aangeboden. Het ging om een Hollandse Herder kruising van 6,5 jaar oud. Het was een reu en woog 45 kg. De eigenaar voelde een harde bult net boven het wolfsklauwtje aan de linker voorpoot. De hond was vrolijk en deed alles, maar liep af en toe kreupel als hij de poot stootte of te wild speelde. De bult was tijdens het eerste bezoek sinds een week opgevallen.
Als er problemen zijn aan het bewegingsstelsel gaan we dit het liefste systematisch onderzoeken. We kijken in eerste instantie naar de stand en de belasting van de poten in rust. Ook kijken we naar de houding van de hond. Vervolgens laten we de hond bewegen om te kijken naar de aard, de ernst en aan welk poot de hond kreupel loopt. Soms loopt de hond al heel duidelijk kreupel vanaf de wachtkamer naar de spreekkamer waardoor we deze stap overslaan. Indien er inderdaad afwijkingen gevonden zijn, wordt besloten het onderzoek van het bewegingsstelsel voort te zetten. We gaan het desbetreffende poot inspecteren en palperen. We kunnen op deze manier kijken of er sprake is van spierafname, zwellingen, pijnlijkheden en we kunnen zien of alle bewegingen mogelijk zijn. Indien er bij dit onderzoek afwijkingen gevonden worden, kunnen we besluiten om aanvullend onderzoek te doen. Het maken van röntgenfoto’s is vaak de eerste stap en dit kunnen we gelukkig zelf doen op de kliniek.
Bij deze hond hebben we ook een uitgebreid lichamelijk onderzoek gedaan. Wat opviel was een flinke zwelling net boven de pols van de linker voorpoot. De pols wordt in de volksmond ook wel de “voorknie” genoemd. Deze term is dus eigenlijk niet juist als je bovenstaande net gelezen hebt. De zwelling was zeer gevoelig bij de aanraking. Het buigen en strekken van de pols was pijnlijk. De rest van de poot liet geen afwijkingen zien. Op basis van deze bevindingen is besloten om röntgenfoto’s te maken van de desbetreffende regio.
We maken minimaal twee foto’s per regio. We doen dit om zo een beter beeld te krijgen. Een pootje is een 3D object. Het is dus lastig om alles op een 2D plaatje te krijgen. Door de foto uit meerdere richtingen te maken krijg je meer informatie. We hebben ook bij deze hond de foto uit twee richtingen genomen. De AP en de ML. Deze termen geven aan dat de eerste foto van boven naar beneden geschoten is, terwijl de tweede foto van binnen naar buiten geschoten is.

Bij het beoordelen van röntgenfoto’s letten we globaal genomen op de volgende zaken:
- Is de foto correct genomen en hebben we de juiste poot bekeken. We zetten altijd een L of en R op de foto zodat we later terug kunnen zien om welk pootje het ging.
- Hebben we de regio op de foto welke we wilden onderzoeken?
- Is de belijning van het bot egaal en staan alle delen goed ten opzichte van elkaar?
- Zien we breuken of scheurlijnen?
- Zien we donkere of juist lichte vlekjes in het bot?
- Zien we overvullingen in gewrichten?
Bij de foto’s van deze hond zien we rondom het uiteinde van het spaakbeen geen mooie botbelijning en we zien een soort woekering. Ook zien we lichte en donkere plekjes in het bot. Omdat deze woekering kan duiden op een bottumor is besloten om ook röntgenfoto’s te maken van de longen om te kijken of er al uitzaaiingen te zien waren. Gelukkig waren deze (nog) niet zichtbaar.
De behandeling van een dergelijke bottumor hangt van veel factoren af. Denk hierbij aan leeftijd, uitzaaiingen, therapieduur en intervallen, succespercentage, algehele gezondheid van het dier, kosten maar ook het gedrag van het dier.
Bij deze hond is gekozen om de desbetreffende poot te amputeren om hopelijk verdere verspreiding van de tumor te beperken en de pijn aan de poot weg te nemen. Het is voor eigenaren een hele stap om dit te beslissen. Veel mensen vragen zich af hoe een hond goed kan functioneren op 3 pootjes. Begrijpelijk, maar je ziet in veel gevallen dat een hond zich heel goed kan redden op drie poten. De baasjes van deze hond hebben zich ontzettend goed verdiept in het amputeren van een poot en hoe dit het beste te verzorgen thuis. Bij de hond uit deze casus is vanwege gedragsmatige redenen niet gekozen voor chemotherapie. De poot/tumor is niet ingestuurd voor pathologie, maar gezien de locatie en het ras is er een sterke verdenking op osteosarcoom.
NB: Hij heeft het inderdaad nog even heel goed gedaan op 3 poten .