https://www.dierenkliniektiel.nl/app/uploads/2021/03/kieswortel-abces-scaled-1.jpg Ga naar de inhoud
hero afbeelding diagnostiek

Dentale röntgen

Voor een optimale gebitsbehandeling zijn een paar onderdelen nodig:
Een veilige verdoving door middel van een anesthesie-apparaat voor een goede anesthesie met de mogelijkheid om alle essentiële parameters te bewaken (denk aan ademhaling, ECG enz), goede apparatuur voor het reinigen; bestaande uit tangen, krabbers, ultrasoon apparatuur om tandplaque te verwijderen, en polijstmogelijkheden. Vergeet echter ook niet het digitale röntgenapparaat en het nut daarvan.

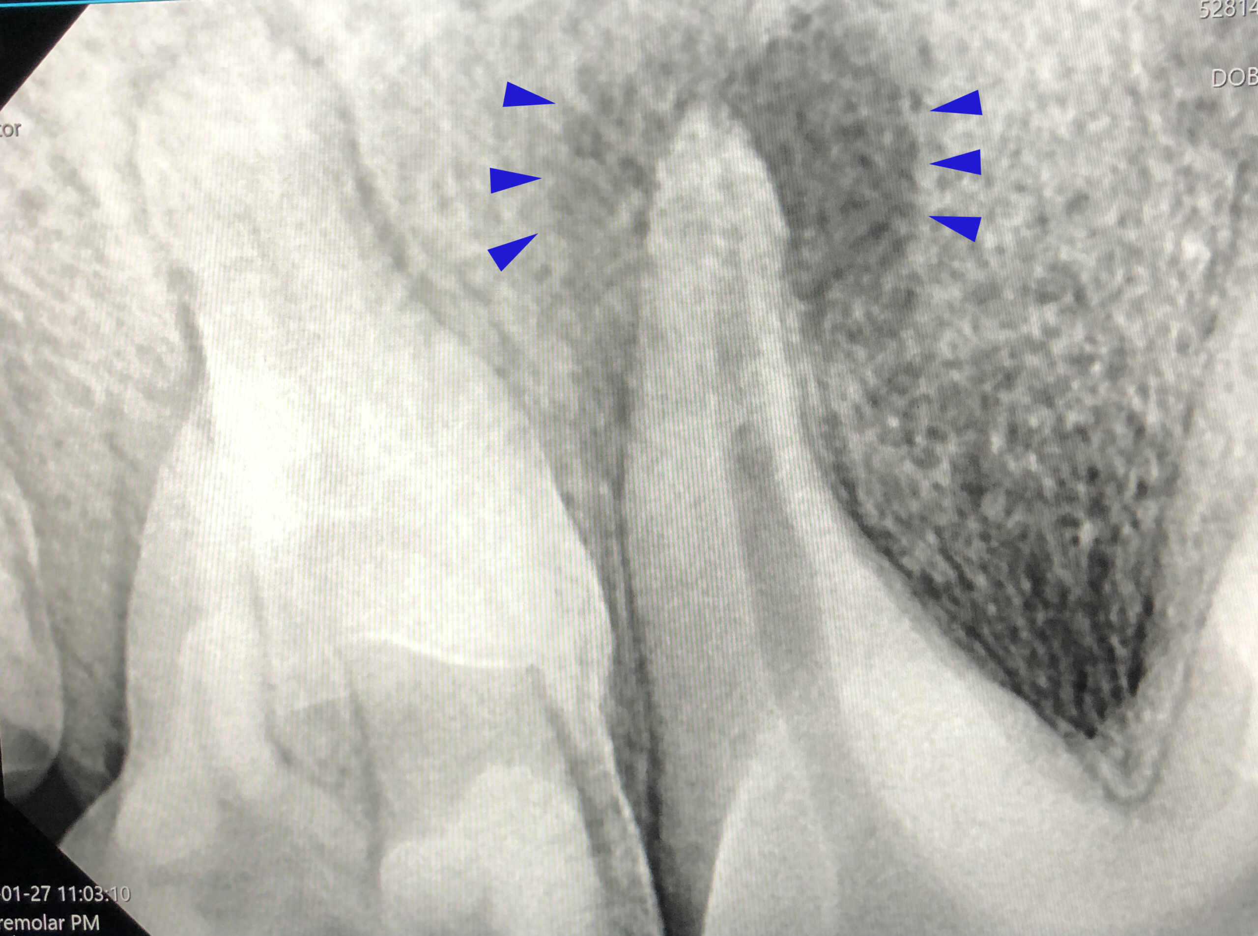
Onze praktijk beschikt over al deze onderdelen. Ons dentale röntgenapparaat is speciaal geschikt om kleine onderdelen op de foto te zetten. Tijdens gebitsbehandelingen kunnen we hiermee onder het tandvlees verstopte wortels van tanden en kiezen in beeld brengen, zodat gerichter besloten kan worden of een extractie nodig is. De foto kan goed laten zien of er een glazuuraantasting aanwezig is, of er wortels ontbreken of dat deze juist vergroeid zijn met het tandbeen. Vooral dit laatste probleem zorgt voor een lastigere extractie. Als je van tevoren weet dat de wortel vergroeid is met het tandbeen, wordt de extractie op een andere manier uitgevoerd.

Bij katten kunnen met digitale röntgen problemen goed bekeken worden. Bij hen bestaat de aandoening Feline Odontoclastic Resorptive Lesions, waarbij er oplossing ontstaat van delen van de tanden en kiezen net onder het tandvlees. Bij een routine-check is dit moeilijk zichtbaar. Vaak zie je alleen wat irritatie van het tandvlees. Op de röntgenfoto zie je echter duidelijk een oplossing van de wortel. Hierbij wordt ook zichtbaar of er van het restantje kies dat je uit de kaak haalt nog een wortelpuntje in de kaak aanwezig is.

Bij jonge dieren van bepaalde rassen, zoals de Chihuahua, zien we vaak “persisterende melkhoektandjes”. Hierbij wordt de melkhoektand niet uit de kaak verstoten bij het doorkomen van de volwassen tand. Soms gebeurt het ook dat er helemaal geen volwassen tand uitkomt. Met een digitale röntgenfoto kan er gecontroleerd worden of er überhaupt een volwassen tand in de kaak aanwezig is.

Behalve voor gebitsbehandelingen kan de digitale röntgenbuis trouwens ook gebruikt worden voor bijvoorbeeld pootjes van hele kleine dieren, zoals cavia’s, hamsters en andere kleine knagers. De straling kan goed gecentreerd worden, zodat er minder straling omheen ontstaat en kleine onderdelen goed op de foto kunnen worden gezet.