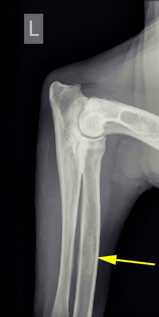
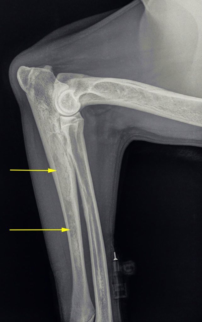
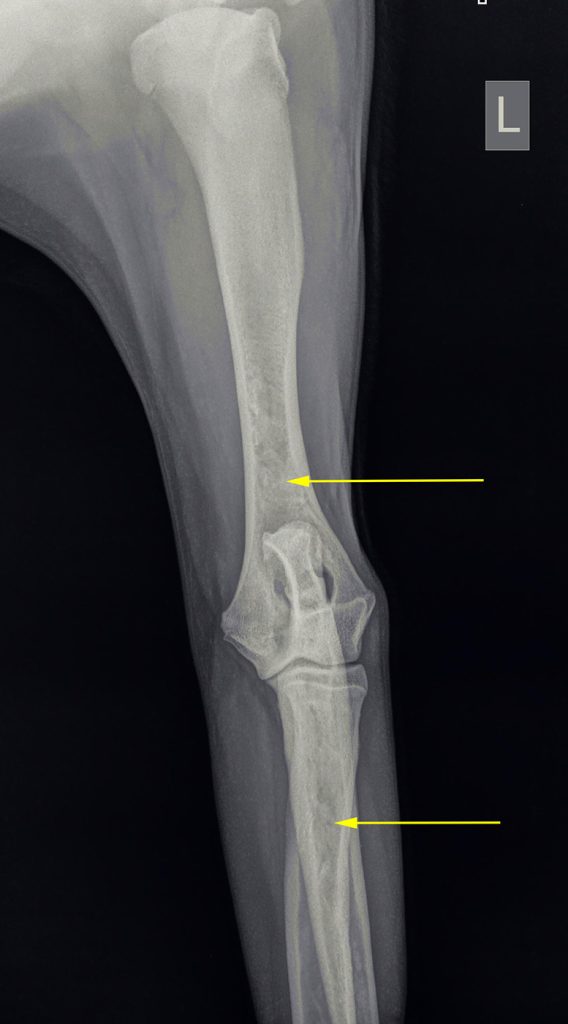
Groeipijn
Groeipijn, ook wel enostose of panosteïtis genoemd, is een probleem bij voornamelijk mannelijke honden van 6 tot 16 maanden oud, van grote rassen. Heel incidenteel krijgen volwassen dieren hier problemen van. Bij groeipijn wordt tijdens de groei extra bot gevormd in de mergholte van voornamelijk de lange botten van de voor- en achterpoten. Dit zorgt voor vernauwing van de mergholte, gepaard gaande met vochtophoping, wat zorgt voor afsterven van vet en vernauwing van de bloedvaten die voedingsstoffen aanvoeren. Deze vernauwing en verminderde bloedtoevoer zorgen voor pijnlijkheid in de botten, welke op verschillende momenten in verschillende poten kan optreden. De problemen worden verergerd door eiwitrijke en calorierijke voeding, wat vaak in puppy- en jonge hondenvoeding zit en in rauwvleesvoeding.
Op röntgenfoto’s kan groeipijn vaak zichtbaar gemaakt worden; het uit zich als wolkvorming in de mergholtes van de lange botten. De pijnlijkheid kan meestal met pijnstilling opgelost worden. Omdat het echter alle lange botten kan aantasten, wisselt de kreupelheid die hiermee gepaard gaat regelmatig van poot. Het kan dan ook voorkomen dat de kreupelheid in bijvoorbeeld de voorpoot overgaat, om na een maand in de achterpoot op te treden.


Totdat de hond volwassen is, kan de pijnlijkheid terugkeren. Andere mogelijkheden om groeipijn te verminderen is de voeding te veranderen naar een minder eiwit- en calorierijk dieet. Meestal adviseren we dieren over te zetten op ‘volwassen’ voeding. Puppy- en jonge hondenvoeding is echter niet voor niets ontwikkeld, alleen als dieren last hebben van groeipijn zouden ze overgezet moeten worden op volwassen voeding.
