Parvo
Het Canine Parvovirus type 2 (CPV-2) is een zeer besmettelijk darmvirus, dat ernstige diarree veroorzaakt. Het is verwant aan Kattenziekte, dat door het panleukopenie-virus wordt veroorzaakt. Afhankelijk van de stam kan het virus ook risicovol zijn voor de kat en de fret?
Het parvovirus wordt in zeer grote hoeveelheden via de ontlasting uitgescheiden en kan in de omgeving vele maanden aanwezig blijven. Voornamelijk pups die te weinig bescherming hebben raken hiermee besmet, meestal in de leeftijd van 6 weken tot 6 maanden. Het gaat dan meestal om pups die helemaal niet of nog niet volledig gevaccineerd zijn. Vóór de leeftijd van 6 weken hebben de meeste puppies nog antilichamen van de moeder. Omdat het zo’n heftige ontsteking van de darmen geeft en zo besmettelijk is, maakt Parvo deel uit van de vaccinaties voor de hond.
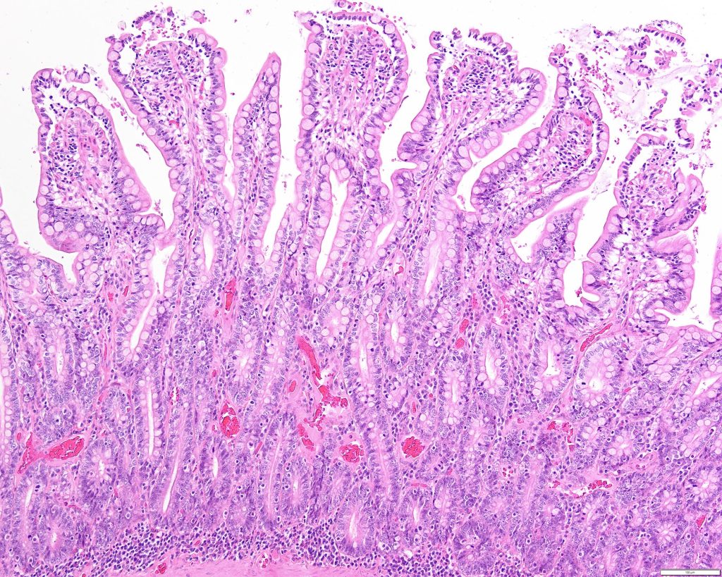
Normaal gesproken worden darmcellen in de crypten van Lieberkühn aangemaakt, vervolgens naar de villi (“vingers” van de darmwand) getransporteerd en binnen een aantal dagen in de darm afgescheiden, waarbij ze continu aangevuld worden vanuit de crypte. De cellen schuiven hierbij op vanuit de cryptes naar de villi. Dit is een normaal proces en duurt enkele dagen. Bij de meeste darmvirussen worden de villi aangetast. Dit is vervelend, maar doordat de nieuwe cellen continu via de crypten worden aangevuld, duurt de diarree hooguit een paar dagen. Het parvovirus tast echter de crypten aan. Hierdoor worden er geen nieuwe darmcellen aangemaakt, waardoor in het normale proces van afscheiden van de villi-cellen, er ineens geen fatsoenlijke darmwand meer is. Er is nu een poreuze verbinding met het lichaam en bacteriën kunnen vanuit de darm het lichaam binnendringen. De virusdeeltjes hebben een voorkeur voor snel delende cellen, waardoor het beenmerg en de lymfeknopen ook aangetast worden. De hond wordt vervolgens ernstig ziek.


Verschijnselen
Verschijnselen ontstaan 4 – 7 dagen na infectie en bestaan uit o.a. verminderde eetlust, koorts, braken, en heftige, soms bloederige diarree met uitdroging en heeft uiteindelijk vaak sterfte tot gevolg. Dit komt zowel door het virus zelf, als door de uitdroging en de bacteriële infecties die optreden ten gevolge van verzwakking van de darmwand. Daarbij kan er ook een longontsteking ontstaan door het verslikken bij het overgeven. Pups tussen de 3-8 weken oud kunnen zelfs ook een myocarditis (ontsteking van de hartspier) ontwikkelen.
Diagnose
Vaak is er op basis van de verschijnselen, de leeftijd van het dier en of er wel of niet gevaccineerd is al een verdenking op besmetting met het Parvovirus. Over het algemeen wordt er dan al aan de telefoon besproken dat de eigenaar even buiten wacht met het dier, tot ze aan de beurt zijn. Vervolgens is het noodzakelijk dat de hond met zo min mogelijk dieren, mensen en omgeving in aanraking komt, tot de diagnose is gesteld. Dit is belangrijk, omdat het virus zeer lang in de buitenwereld kan overleven en daarmee langdurig een risico oplevert voor besmetting van andere dieren.
De definitieve diagnose wordt gesteld met behulp van een Parvotest op de ontlasting.
Therapie
Er is geen direct geneesmiddel tegen Parvo, het lichaam moet zelf het virus overwinnen. Het enige wat mogelijk is, is intensieve ondersteuning met behulp van een infuus in het bloedvat, middelen om het braken en de diarree te onderdrukken, antibiotica om secundaire bacteriële infecties tegen te gaan en kleine hoeveelheden dwangvoeding om toch de benodigde energie binnen te krijgen. Daarbij kan er gebruik gemaakt worden van Interferonen om de sterfte bij besmetting te doen verminderen. Verder moet het dier in quarantaine, waarbij ook de verzorgers beschermende kleding en handschoenen dragen. Zo wordt voorkomen dat het virus zich door de praktijk verspreidt.
Honden kunnen het virus nog tot 8 weken na herstel in de ontlasting uitscheiden.
Prognose
Bij op tijd ingrijpen, waarbij sepsis (bloedvergiftiging) en uitdroging wordt behandeld, kunnen honden de ziekte overleven. Deze kans varieert tussen de 25 en 50% afhankelijk van de heftigheid van de besmetting, de afweer van de pup en de status van vaccineren. Een pup die al een vaccinatie heeft gehad, welke ook voldoende tijd heeft gehad om antilichamen op te bouwen, maakt een betere kans dan een pup die nog niet geheel of pas een paar dagen geleden gevaccineerd is.
Preventie
Er is een vaccin beschikbaar ter voorkoming van besmetting met het parvovirus, dat na een eerste booster elke 3 jaar moet worden toegediend om effectief te zijn. Het lastige hierbij is echter dat een pup antilichamen meekrijgt van de moeder. Deze nemen na de geboorte in de loop van de weken af (tussen de 6 en 12 weken), waarbij de pup eigen antilichamen moet gaan aanmaken met behulp van vaccinaties. Als er nog moeder-antilichamen (maternale antilichamen) aanwezig zijn bij de vaccinatie, vangen deze antilichamen het vaccin weg en wordt er geen eigen antilichamen opgebouwd. In deze periode tussen de afname van maternale immuniteit en opbouw van de eigen antilichamen, zijn pups het meest vatbaar voor virussen. Mits een pup in staat is om een goede immuniteit op te bouwen met behulp van de vaccinatie dan zijn ze 2-3 weken na de derde vaccinatie goed beschermd.
Het parvovirus kan onder de juiste omstandigheden jaren in de omgeving aanwezig blijven. Dit houdt een groot risico voor nieuwe dieren in als er een besmetting is geweest.