Polycystic Kidney Disease (PKD)
Polycystic Kidney Disease (PKD) is een nieraandoening die met name gezien wordt bij de pers en de persachtigen/ verwanten.
De meeste dieren die hierdoor nierfalen ontwikkelen zijn gemiddeld 6-7 jaar (het kan echter ook al op 1 jaar leeftijd).
Het is een autosomaal dominant overerfbare ziekte. (Dat wil zeggen dat de ziekte tot ontwikkeling komt in een kat, zelfs al heeft de kat slechts op 1 van de 2 chromosomen het gen voor PKD. Gezonde katten hebben op beide chromosomen NIET het gen voor PKD).
Ondanks dat het een dominante afwijking is, hebben veel dieren het probleem. Dit komt doordat het vaak pas op latere leeftijd zichtbaar wordt. Dit wordt mede veroorzaakt doordat het preventieve echografische onderzoek pas recentelijk op wat grotere schaal wordt uitgevoerd. Niet alle fokkers laten hun dieren screenen en er is het risico dat cysten nog niet gezien worden op de echo op het moment van screenen.
Ongeveer 38% van de perzen wereldwijd heeft PKD (los van het feit of ze klachten vertonen), dit tegenover 14% bij de andere rassen. In Nederland heeft ongeveer 21% van de Perzen PKD.
Behalve bij persen en exotics wordt het ook in hogere aantallen gezien bij: Britse korthaar, Burmilla, Tiffany, Heilige Birmaan, Bombay, Cornish Rex, Devon Rex, Ragdoll en Snowshoe.
Een wat lager risico hebben: de Angora katten (mn de Oriental Langhaar (ook wel de Javanees of de Mandarin genoemd)), Maine Coon, Noorse Boskat, Oriental, Siamees, Tonkanees en Turkse Van.
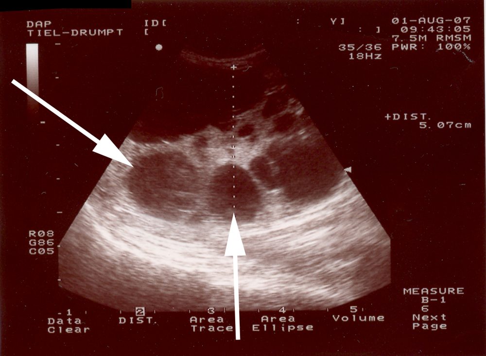
Er zijn meerdere cysten vanaf de geboorte in de beide nieren aanwezig. Ze komen zowel in het niermerg als in de nierschors voor. De cysten verdringen, terwijl ze groter worden, het normale nierweefsel.

Opvallend is dat er ook regelmatig laesies (= afwijkingen) in de lever worden gevonden bij katten met PKD.
Het probleem wordt veroorzaakt door een defect in het DNA op het zogenaamde PKD1-locus (in het PKD 1 gen). Dit gen is voor de vorming van polycystine-1 nodig. Waarom er cysten ontstaan wanneer het afwijkende gen er is, is nog onduidelijk.
De afwijking blijkt homozygoot lethaal te zijn. Dat wil zeggen dat als een kat op beide chromosomen het afwijkende gen bezit, hij niet levensvatbaar is. In welk stadium van de ontwikkeling deze dieren komen te overlijden is niet duidelijk.
De verschijnselen kunnen zijn:
Niet functioneren van nieren, wat tot de dood zal leiden.
Veel drinken en plassen, afvallen, braken en niet willen eten.
Bloed in de urine en eventueel vergrootte en onregelmatige nieren.
Voor de preventie zijn alleen foktechnische maatregelen mogelijk. Hiervoor dien je te weten welke katten dragers zijn. Tot nu toe kon dat bekeken worden met de echo vanaf 4 weken leeftijd. Er konden helaas cysten gemist worden wanneer deze heel klein waren.
Sinds kort is er echter een DNA-test waarmee we bij katten het genotype voor het PKD1-locus kunnen vaststellen. Hiermee kun je dus voor het fokken vaststellen of een dier drager is van het PKD1 gen.
De uitkomst van een dergelijk bloedonderzoek kan zijn:
-de kat is vrij (beschikt over 2 volwaardige allelen, pkd1/pkd1)
-de kat is lijder (beschikt dus over tenminste 1 defect allel, PKD1/….)
Van belang is wel om niet ineens alle lijders uit te sluiten, omdat hiermee ook een groot deel van de genetische variatie wordt verwijderd. Het is van belang om te fokken met verstand. Er kan bijvoorbeeld wel een drager gebruikt worden samen met een niet-drager. De gunstige effecten van de drager kunnen zo overgedragen worden. In dat nest kan dan weer gekeken worden naar een niet-drager die ook andere, gewenste eigenschappen heeft.
Voor de ziekte zelf is op dit moment geen effectieve behandeling mogelijk. De ziekte is progressief maar door het vaak langzame verloop hoeven niet alle dieren nierproblemen te gaan vertonen.
Wanneer u dit genetisch onderzoek wilt laten doen kunt u via de link bij de Genetic Counselling Services komen. Daar kunt een formulier aanvragen. Hierbij krijgt u de informatie omtrent wat er allemaal moet gebeuren. Houd er rekening mee dat uw dier geidentificeerd dient te zijn met bv een chip.
Het afnemen van het bloed en het verzenden van de formulieren vindt plaats bij uw dierenarts.