Een hond met buikpijn
Bouli, een 10 jaar oude Cavalier King Charles Spaniël uit Tiel, kwam bij de dierenarts omdat zij sinds de dag ervoor een aantal keer gebraakt had. Ze smakte en was duidelijk niet lekker.
Bij het klinisch onderzoek waren de enige afwijkingen die gevonden werden: een hartruis en buikpijn. Bouli is geen hondje dat rare dingen op eet, toch was het duidelijk een hond met buikpijn.
Op basis van deze afwijkingen is er toen voor gekozen om röntgenfoto’s te maken.

De belangrijkste afwijkingen die op de röntgenfoto’s te zien waren: minder contrast dan we gebruikelijk zien en mogelijk een structuur. Er was echter geen aanwijzing voor een verstopping.
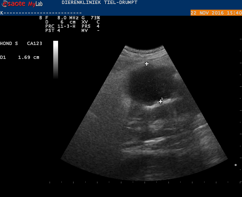
Om te weten wat er mis was, werd besloten een echo te maken.


Met de echo werden een aantal afwijkingen gezien. De belangrijkste waren een lokaal gebied van ontsteking en net boven een groot bloedvat was er een onregelmatig stuk darm te zien met een verdikte wand. Door alle veranderingen was niet goed te bepalen wat deze structuur exact was. Gezien het beeld en de leeftijd was de kans groot dat er sprake was van een tumor.
Gezien de mate van ontsteking en omdat naaldbiopten bij darmen er nog wel eens naast zitten, was de beste vervolgstap een operatie. Bij een operatie kan er namelijk een weefselbiopt genomen worden of misschien konden we zelfs kijken of we het probleem konden oplossen.
Natuurlijk zaten er wat haken en ogen aan de voorgestelde operatie. Voor het ras was Bouli op leeftijd. De hartruis was aanzienlijk en tenslotte was de kans groot dat we iets zouden vinden wat niet te herstellen was.
Het baasje had alles goed afgewogen maar wilde Bouli graag de kans geven, dus zijn de dierenartsen gaan opereren. In eerste instantie moesten er allerlei verklevingen losgemaakt worden. Maar nadat deze weg waren, zagen we ineens een bult onder en tegen de blindedarm. Bij het vastpakken kwam er pus uit de bult, maar het toonde niet als een tumor en dus kregen we weer wat moed. Aan de andere kant hadden we eigenlijk nog nooit een spontane blindedarmontsteking gezien, dus bleven we wat gereserveerd. We besloten om de blinde darm eruit te halen. Daarbij moesten we vervolgens een smallere dunne darm vast maken aan een bredere dikke darm. De operatie verliep volledig volgens plan en wens. Het herstel van Bouli ging verbazingwekkend snel. Ze was de dag erna al een stuk beter.
Het werd nog beter toen we de uitslag van het pathologisch onderzoek kregen; Het bleek te gaan om een ontsteking in de darmwand met verval en pusvorming met daarbij een buikvliesontsteking. Het was veroorzaakt door een perforatie van de blinde darm. Met als belangrijkste toevoeging: geen aanwijzingen voor een vorm van kanker. Er was dus eigenlijk sprake van een perforerende blindedarmontsteking. Het was dus niet vreemd dat ze zo’n buikpijn had.
We konden het baasje snel blij maken, want het zag er ineens heel rooskleurig uit voor Bouli. Ondertussen is Bouli door de kritische periode heen en gaat het weer heel goed met haar.
