Een mogelijk aangereden kat
Otje de kat die 6 van de 7 levens in korte tijd verloor.
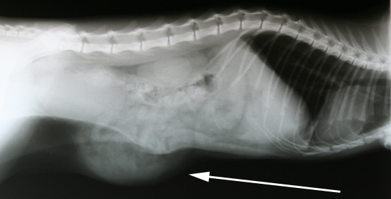
Otje uit Wadenoijen kwam bij ons op afspraak voor de sterilisatie. De eigenaar vertelde dat Otje vlak voor de geplande opname weg was geweest en strompelend was thuisgekomen. Bij het nakijken, door de dierenarts, viel onder andere op dat de nagels afgesleten waren en dat er een vreemde bult onder haar buik zat. Mogelijk was er hier sprake van een aangereden kat. In deze bult leken ook organen te zitten. Vanwege deze gevonden afwijkingen hebben we een röntgenfoto gemaakt. Hierop bleek het middenrif gelukkig intact, maar bleek er inderdaad een breuk, mogelijk wel 2, van de buikwand aanwezig te zijn. Dat wil zeggen dat de buikspieren kapot zijn en als gevolg daarvan buikorganen direct onder de buikhuid komen te liggen.

Operatief herstel
We besloten tot operatief herstel. Na het openen van de buik bleken er zelfs 3 breuken van de buikwand aanwezig te zijn. Ze zaten op 3 totaal verschillende plaatsen en varieerden van middelgroot tot behoorlijk groot. Er waren al wat verklevingen aanwezig. In de buik zelf waren geen bijzonderheden te zien op enkele bloeduitstortingen na. Na het voorzichtig losmaken van de verkleefde buikorganen hebben we de breuken gerepareerd. Otje kwam daardoor wel tijdelijk strak in haar “corset” van buikspieren te zitten, omdat de randen van de kapotte spieren bijgesneden moesten worden zodat het niet meer levensvatbare weefsel weg was en er een mooie wondrand zou ontstaan om goed te genezen. Toen Otje goed bijgekomen was uit de narcose is ze mee naar huis gegaan. Ze had het eerst best even moeilijk, maar al snel ging het beter.
Complicatie
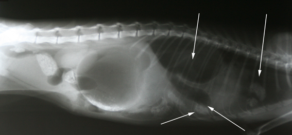
Echter vlak voor de hechtingen verwijderd konden worden, ging het weer minder en begon Otje zwaar te ademen en leek buikpijn te hebben.
We hebben om die reden besloten opnieuw röntgenfoto’s te maken.
Op deze foto bleken ineens darmstructuren te zien in de borstholte, er was dus sprake van een scheur in het middenrif.
Op deze foto bleken ineens darmstructuren te zien in de borstholte, er was dus sprake van een scheur in het middenrif.

Blijkbaar was het middenrif toch beschadigd bij het ongeluk, zonder dat er daadwerkelijk een gat aanwezig was. In de loop van de week is het beschadigde deel kapot gegaan en is er een breuk ontstaan (mocht er een gat geweest zijn tijdens de vorige operatie, en er dus een verbinding zijn tussen de buikholte en de borstholte, dan hadden we namelijk tijdens die operatie een klaplong bij Otje veroorzaakt door de buikholte te openen).
Opnieuw opereren
De beslissing viel na wikken en wegen op nogmaals opereren. We hebben Otje dezelfde avond weer geopereerd. Dit moest onder continue beademing gaan, omdat de onderdruk in de borstholte weg was vanaf het moment dat we weer de buik openden. Daardoor is het niet mogelijk voor de kat om zelf te ademen. In eerste instantie ging het tijdens de narcose slechter met Otje en hebben we de behoorlijk opgeblazen maag moeten aanprikken; Otje kreeg hierdoor weer meer ademruimte. Als eerste bleek ¾ deel van de maag in de borstholte te liggen en opgeblazen te zijn met gas. Nadat we de maag terug hadden gelegd op z’n normale plek hebben we vervolgens de darmen voorzichtig uit de borstholte teruggehaald. Helaas bleek een deel van deze darmen afgeklemd te zijn waardoor de darmwand in slechte toestand was. Om die reden hebben we besloten ook nog een deel van de darm te verwijderen. Op deze manier werd het dus een zware ingreep voor dit katje! Na het sluiten van het middenrif en het herstellen van de onderdruk in de borstholte hebben we Otje in de couveuse gelegd.
Otje herstelde ongelofelijk snel: de dag na de operatie liep ze al over de couveuse heen kopjes te geven.


Eind goed, al goed
Bij het verwijderen van de hechtingen, 10 dagen later, bleek dat ze thuis ook de grootste moeite hadden om haar rustig te houden. Al met al liep het gelukkig toch nog goed af!
Wel adviseren we Otje om zuinig te zijn met het resterende leven dat ze nog heeft…