Een reu die moeilijk tot niet kan plassen
Plassen ging moeilijk
Jur is een Welsh Terrier uit Tiel van bijna 9 jaar oud. Op een donderdag bracht de eigenares van Jur urine langs voor onderzoek, omdat hij telkens kleine plasjes deed. In de urine was een duidelijk ontstekingsbeeld aanwezig zonder de aanwezigheid van blaasgruis. Op basis daarvan is een behandeling ingesteld met de waarschuwing dat hij moet kunnen blijven plassen, niet ziek mag worden en het in een paar dagen beter moet gaan.
De dag erna belde de eigenares, die Jur duidelijk goed in de gaten hield, op met het probleem dat hij bijna niet kan plassen. Daarop is Jur voor controle bij de dierenarts geweest. In de buik was geen grote blaas te voelen en de prostaat bleek bij rectaal voelen ook niet te groot.
Verder onderzoek
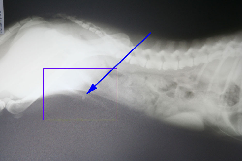
Hierna hebben we een urinekatheter ingebracht die na 4 cm vastliep op een harde structuur. Op de röntgenfoto is er bij de pijl een blaassteen te zien die vastgelopen is in het penisbotje.



Na verder onderzoek verricht te hebben kwamen we tot de conclusie dat er in de blaas zelf nog wat gruis zat en mogelijk zeer kleine steentjes.
De behandeling
In eerste instantie hebben we geprobeerd de steen naar de blaas terug te spoelen. Dit lukte helaas niet. We hadden dus nog maar 1 optie. We moesten het scrotum amputeren en een stoma aanleggen zodat Jur weer kon plassen. Het verwijderen van het steentje vanuit het penisbotje vanaf deze lokalisatie was geen optie. Het zou dusdanige schade en vernauwingen opleveren dat we alsnog een stoma moesten gaan aanleggen.
Dus op vrijdagavond hebben we na controle van de nierwaarden en de elektrolyten Jur geopereerd. Na een stevige operatie was het zover. Jur was zijn scrotum kwijt en had een nieuwe plasopening.



