Enostose bij de hond
Op 10 maanden leeftijd kwam Diablo, een Pitbull uit Ravenswaaij, op het spreekuur vanwege kreupelheid aan de voorpoot. Hij liep sinds 2 dagen de ene keer wel, de andere keer niet kreupel.
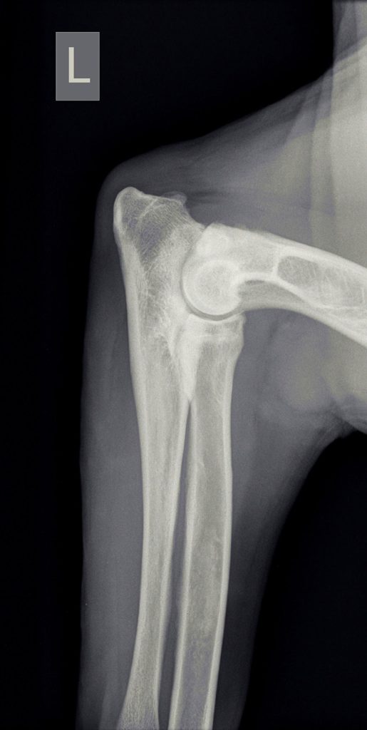
Bij het navoelen van de poten bleek hij erg gevoelig bij druk op de botten van de onderarm, maar niet gevoelig aan de gewrichten of aan de andere poten. Voor de zekerheid werden er röntgenfoto’s genomen om te achterhalen wat er aan de hand was. Op de röntgenfoto’s bleek er midden in de botten van de onderarm wolkvorming te zijn ontstaan. Dit kan passen bij een aandoening genaamd enostose, oftewel groeipijn.


Aangezien er geen andere afwijkingen te vinden waren en alles leek te passen, was de diagnose uiteindelijk enostose / groeipijn. De dierenarts kon Diablo gelukkig snel helpen met pijnstilling. De eigenaar zou vervolgens verder zorgen voor de broodnodige TLC (tender love and care) en aanpassing van de voeding. Diablo was gelukkig snel geholpen met pijnstilling, al loopt hij totdat hij 1.5 jaar oud is nog wel de kans om vaker deze klachten te krijgen. De kans hierop is groter wanneer hij teveel voer krijgt. Dus hij moet schraal gehouden worden. Uiteindelijk zal hij dan over de groeipijn heen groeien.