Grumpy had wat in de slokdarm klem zitten
Grumpy, een Shih Tzu van 5 jaar oud, kwam op oudjaarsavond, aan het einde van een drukke dag bij ons met braakneigingen en hoesten als klacht. Hij had een uur geleden een gedroogd stuk kipfilet op, dat speciaal voor honden is ontwikkeld. Hij toonde benauwd en gaf ook wat wit schuim op.
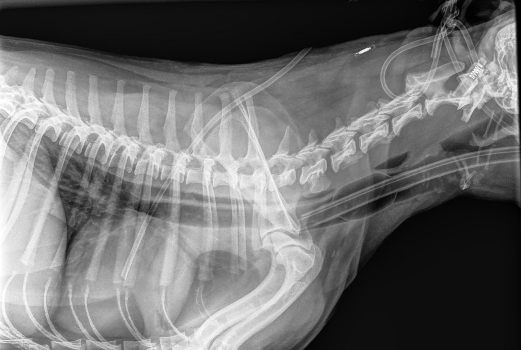
Klinisch konden we uitwendig niks afwijkends voelen of horen. De verdenking was dat hij iets in de slokdarm had zitten, dus in overleg met de eigenaar zijn er röntgenfoto’s gemaakt. Hierop was te zien dat er veel lucht in de maag zat en dat er mogelijk 1 tot 2 dingen in de slokdarm zaten. Dat betekende dat er gekeken moest worden of de structuren uit de slokdarm te krijgen waren.

In eerste instantie hebben we ons uiterste best gedaan om een specialist te vinden, die in het bezit was van de juiste scoop, om Grumpy te kunnen helpen. Na vele pogingen was er echter nog niemand beschikbaar en zaten we met ons handen in het haar. We konden Grumpy niet zo door laten lopen, dat zou helemaal fout aflopen. Het halve team was inmiddels nog aanwezig, iedereen was betrokken bij Grumpy en is de rest van de avond gebleven voor hulp en ondersteuning.
Gelukkig hadden we niet alleen al veel scopen in huis, maar sinds een week ook een compleet nieuwe scoop met nieuwe tangen. Deze heeft op die oudjaarsavond direct zijn dienst bewezen!
We hebben eerst in de slokdarm gekeken en kwamen inderdaad een stuk materiaal tegen wat klem zat.

Het lukte echter niet om het gemakkelijk eruit te trekken. De structuur zat zo klem, dat we met de tang steeds kleine stukjes eraf braken.


We waren echter vastbesloten om de structuur eruit te krijgen, als het moest het stukje voor stuk gaan. Grumpy moest dit tenslotte wel overleven.
Nadat we al 1,5 uur bezig waren en tot de conclusie kwamen dat dit heel lang zou gaan duren, bedachten we ineens dat er nog een andere tang op de praktijk aanwezig was. Deze tang was voor iets compleet anders bedoeld en niet via de scoop te gebruiken, maar het was de moeite waard om te proberen of deze nog kon helpen.
En inderdaad, met behulp van deze tang, die we langs de scoop inbrachten, konden we hierna de stukken in een paar keer verwijderen. De slokdarm was niet beschadigd en zowel de eigenaar als wij konden nog op het nippertje de jaarwisseling vieren.


Iedereen was moe, maar zeer voldaan, waardoor we de jaarwisseling met een goed gevoel in konden gaan. Het is altijd heel prettig wanneer je weet dat je het verschil gemaakt hebt, dat is toch waar we het voor doen.
Na een paar dagen met keelpijn was Grumpy weer geheel de oude. De betreffende traktatie ging hij voortaan niet meer krijgen.