Het verwijderen van blaasstenen met de scoop
In augustus 2015 werden bij de malthezer Amy uit Tiel voor het eerst blaasstenen aangetoond. De klachten van het hondje waren last van vaker plassen en bloed in de urine.

Deze blaasstenen zijn toen operatief verwijderd door onze dierenarts. Helaas bleek het hier om calciumoxalaat te gaan. Dit is een type blaassteen waarbij de kans op recidief heel groot is.
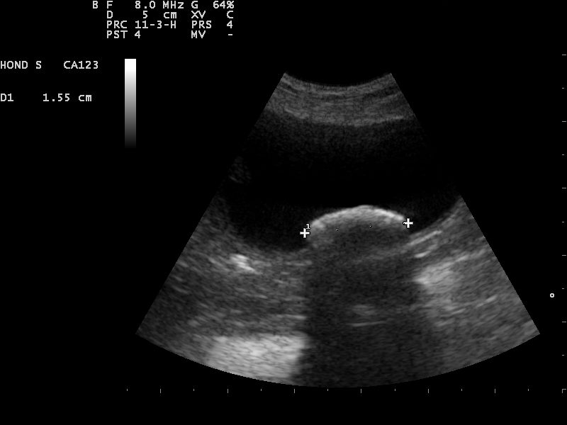
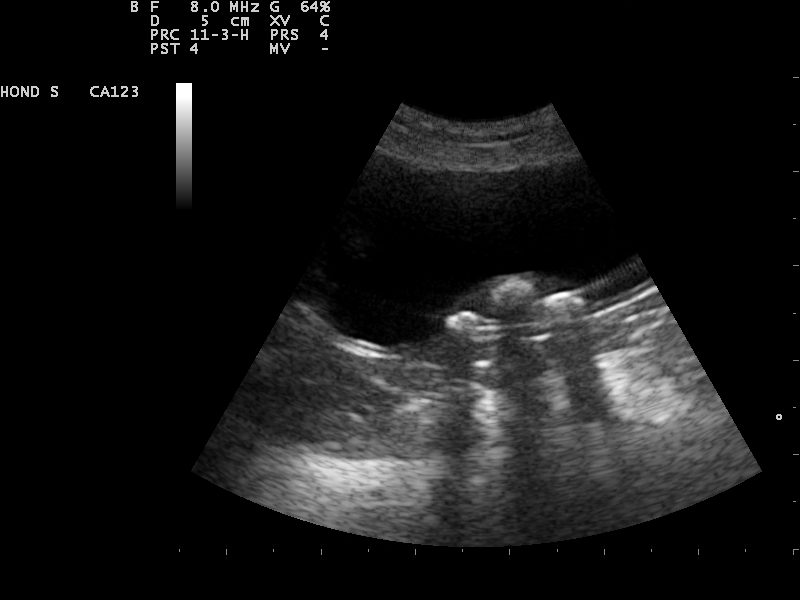
En dit bleek inderdaad het geval. In september van 2016 constateerde we, met behulp van een echo, weer nieuwe blaassteentjes bij Amy.

Ze waren nog wel heel klein, maar ze waren er wel weer. Ondertussen had onze dierenartspraktijk geïnvesteerd in allerlei scopen.

Hierbij zat ook een scoop, om in de blaas van een teefje te kunnen kijken. Op deze manier konden we de blaasstenen met de scoop verwijderen en zo een buikoperatie vermijden.
De behandeling viel voor onze dierenarts uiteindelijk wel wat tegen. Niet omdat het verwijderen van de blaasstenen via de scoop niet lukte, maar omdat er zo ontzettend veel blaassteentjes aanwezig bleken te zijn.
Het verwijderen van de blaassteentjes verliep soepel met behulp van allerlei grijpertjes.

