Joep, een jonge hond die vaak moest overgeven/braken.
Een tijdje geleden hebben we Joep, een normaal gesproken vrolijke Retromops van 3 jaar oud, op het spreekuur gezien vanwege vaak overgeven. Hij was onrustig, wilde niet gaan liggen en stond regelmatig met zijn achterwerk in de lucht.
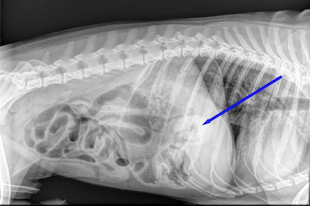
Bij het algemeen onderzoek was de buik gevoelig bij het navoelen en er leek veel gasvorming aanwezig te zijn. Op de röntgenfoto was er een grote maag met veel vulling zichtbaar, waarbij er ook een soort buisvormige structuur aanwezig leek te zijn. Het leek er dus op dat er een vreemd voorwerp in de maag zat. Aangezien Joep al meerdere keren had gebraakt zonder dat er iets uit kwam, was het advies om dit voorwerp operatief te verwijderen.


Dezelfde middag hebben we Joep voorbereid voor de operatie. Hij kreeg een infuus en zijn buik werd geschoren. Aangezien bij reuen de penis in het operatieveld ligt, plaatsen we ook een urinekatheter om te voorkomen dat er urine in het steriele gebied zou lekken. Toen Joep aan het anesthesie-toestel was aangesloten en stabiel onder narcose lag, zijn we de operatie begonnen.
De darmen waren leeg en leken nog wel een normale beweeglijkheid te hebben. In de maag was er echter een stevige structuur voelbaar. De operatieassistente had zich inmiddels ook steriel voorbereid en kon helpen om de maag omhoog te houden. Als deze terugzakt in de buik, terwijl hij open is, kan er maagzuur in de buikholte lopen. Dit heeft hele vervelende ontstekingen en na-pijn tot gevolg. Toen de maag was geopend, kon de structuur verwijderd worden; het leek een soort rubberen, ronde, lichtblauwe schijf, met een gat erin. Het was niet direct duidelijk wat dit nou zou kunnen zijn. De maag en de buik werden gesloten en Joep kon weer wakker worden. Dit ging vlot en hij ging redelijk vrolijk naar huis.
Bij navragen bij de eigenaar, bleek Joep 9 maanden eerder zijn rubberen speeltje kapot te hebben gebeten. Er was een stuk nog missende. Het bleek, na vergelijking van het materiaal, dat dit overeenkwam met de rubberen schijf die we uit de maag hadden gehaald. Dit betekent dat het speeltje 9 maanden in de maag aanwezig is geweest! De reden dat het nu problemen heeft gegeven is waarschijnlijk omdat hij bij de maaguitgang een beetje klem kwam te zitten.

In het verleden hebben we weleens een ijslollystokje uit een maag verwijderd, die er 6 maanden in had gezeten, maar 9 maanden is tot nu toe het record.
Joep is gelukkig probleemloos hersteld, hopelijk houdt hij voortaan zijn speeltjes heel.
NB: Let altijd op, er is geen speeltje dat niet kapot kan.