Kat beschoten in Maurik
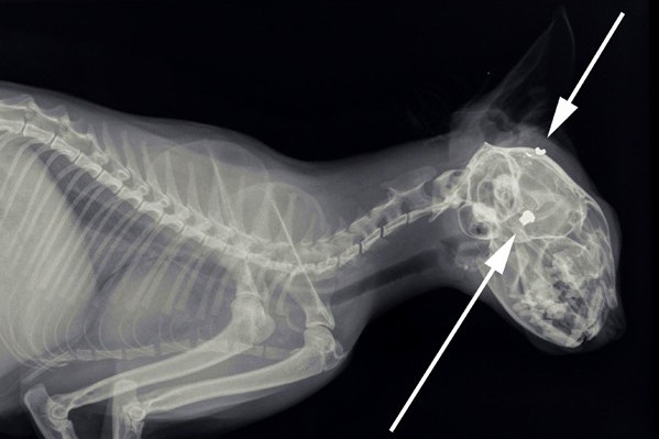
In de nacht van 14 op 15 november werd er bij de Dierenambulance een overleden kat aangeboden, die in een achtertuin in Maurik was gevonden. Het diertje, wat verder in zeer goede conditie leek te zijn, had een klein rond gaatje achter het rechter oor. De Dierenambulance bracht de kat bij onze dierenarts om een röntgenfoto te laten maken. Hiermee konden we vaststellen of het dier beschoten was. Een wondje zoals deze kat liet zien betekent namelijk niet automatisch een kogelgaatje. Zoals op de foto te zien is, is er dus inderdaad een kat beschoten in Maurik. In de schedel zijn één kogel en één kogelfragmentje aanwezig.
